Cabinet dentaire du Dr LIBEAU et du Dr RODIER
Orthodontie à ARRAS
2 Boulevard de Strasbourg, 62000 ARRAS
+33 7 81 62 78 60

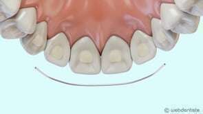
Fil de contention

video-play-icon

Articles similaires

Derniers articles

Cas clinique

Cas clinique

14 Déc 2024

Cas clinique

Conclusion

Conclusion

14 Déc 2024

Conclusion

Le sommeil

Le sommeil

14 Déc 2024

Le sommeil

Catégories

Création par Webdentiste

Connexion